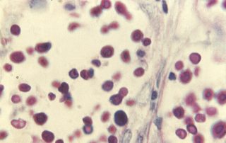
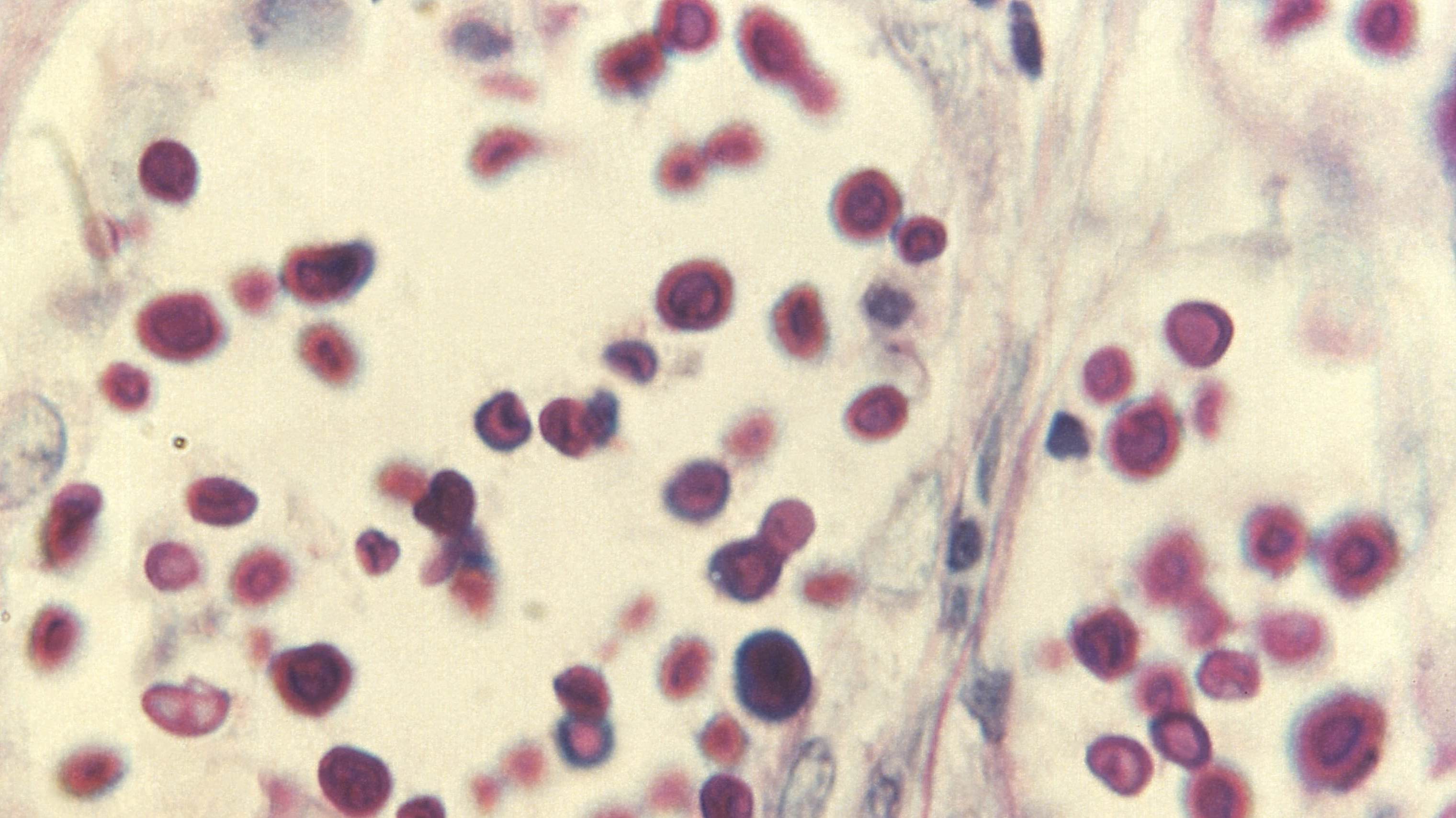
A 1964 Earthquake Might Have Unleashed a Deadly Fungus on the Pacific Northwest
Two decades ago, a rare but deadly fungal infection began killing animals and people in the U.S. and Canada. To this day, no one has figured out how it arrived there in the first place. Now a pair of scientists have put forth their own theory: Tsunamis, sparked by a […]









